レントゲンとは
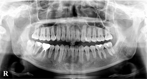
レントゲンにはお口全体を撮影するパノラマレントゲンと2~3本の歯を撮影するデジタルレントゲンがあります。
大きなサイズのパノラマレントゲンは、顎の骨の内部の病気や歯周病の進行、大まかな虫歯、親知らずの状態、歯の並びなどを確認することができます。
それに対して、小さいサイズのデンタルレントゲンは細かな虫歯や根の先の状態などパノラマレントゲンよりも詳しい情報を得ることができます。
CTとは
CTとはコンピューター断層撮影(Computed Tomography)の略称です。
解析したい部位を細かく輪切りにし、それぞれの断面の画像を撮影する技術です。
歯科用CTでは、歯が失われた部分の骨の幅や深さや骨質、下顎管や上顎洞までの距離を正確に測定することができます。
今までのDental X線やパノラマX線では2次元の情報しか得ることができなかったのが、歯科用CTで撮影することにより3次元の情報を得られるため、より正確な診断が可能になります。
当医院ではインプラントの他、親知らずの抜歯や根管治療、歯周病の治療などに用いています。
インプラント治療においては下顎管や上顎洞の位置関係、骨の幅や深さ、骨質等をきちんと把握することにより、手術時のリスクをを軽減させることができます。
またインプラントの埋め込み位置や挿入深さの決定や患者様への説明にも必要となります。
医科用CTとの違い
医科用CTも歯科用CTも断層撮影の原理は同じですが、歯科用CTは頭部に特化しているため高解像度なので歯や骨などを詳しく見ることができます。また、医科用CTの被ばく線量が1回あたり約5~10msvなのに対して当院の歯科用CTは1回あたり約0.04msvなので被ばく量が 約1/125~1/250に抑えられます。
CT撮影の料金について
・保険適用の場合 3割負担で約¥4,000
現在保険治療でCT撮影が認められているものには以下があります。
・埋まっていて横を向いている親知らずの抜歯の診断
・難治性の歯の神経の治療
・中程度以上で根分岐部変を有する歯周病
・顎骨のう胞 など
・保険外適用の場合 ¥11,000(税込み)
・インプラントのための診断など
治療イメージ

訪問診療車
①国分寺駅南口に出ます(銅像が目印です。)
②南口を出て右の道をまっすぐ進みます。
③三井住友銀行とラケットショップの間の角を左に曲がって道なりに進みます。
④道なりに進むと前に駐車場があるので左の道を進みます。
⑤道をまっすぐ進んだ突き当りが当院です。
| 医院名 | 医療法人Dental Front 滝本歯科医院 |
|---|---|
| 所在地 | 〒185-0021 東京都国分寺市南町3-26-33 |
| TEL | 042-324-7040(外来・お問い合わせ) 042-324-7042(訪問診療のお問い合わせ専用) |
| 診療時間 | 月・火・水・金 9:30-13:00 / 14:30-18:30 木(6/1~) 9:30-13:00 / 14:30-17:30 土 9:30-11:30 / 13:00-14:00 |
| 休診日 | 日曜・祝日 |
| 診療項目 | ・一般歯科 ・小児歯科 ・予防歯科 ・歯周病治療 ・入れ歯 ・インプラント ・ホワイトニング ・訪問診療 |
| 訪問診療 | 16Km圏内 訪問診療専用お問い合わせ先:042-324-7042 ネットでのお問い合わせはこちら |
滝本歯科医院では、歯科医師・歯科衛生士を募集しております。
年齢・経験・性別は問いません。
みなさんの特性を生かしながら私達と一緒に仕事をしてみませんか?
詳細は下記までお問い合わせください。
滝本歯科医院 TEL:042-324-7040